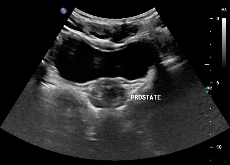
Трансабдоминальное УЗИ представляет собой безболезненный и доступный метод ультразвукового исследования, при котором врач осматривает предстательную железу через брюшную полость. Процедура не требует специальной подготовки и подходит даже тем, кто боится медицинских вмешательств.
Диагностика позволяет оценить размеры и структуру простаты, а также выявить признаки воспаления, аденомы или других патологических изменений. В медицинском центре доктора Бегмы УЗИ проводится на современном оборудовании экспертного класса. Это гарантирует точность выявления патологий даже на начальных стадиях.














